CABINET DENTAIRE DU DR CAROLINE PERRIN TREDE
CHIRURGIEN-DENTISTE À MULHOUSE
CHIRURGIEN-DENTISTE À MULHOUSE
CABINET DENTAIRE DU DR CAROLINE PERRIN TREDE

83 Rue de Soultz
68200 MULHOUSE

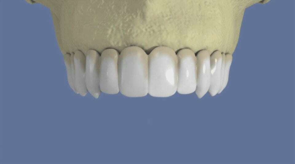
Maxillaire : bridge vissé sans fausse gencive


video-play-icon

Articles similaires

Création par Webdentiste

Connexion